in

Kwa muganga barasanasana iminsi ikicuma! Nyuma yo kubagwa, Kimenyi Yves wavunitse igufwa rigatandukana igihe azagarukira mu kibuga cyamenyekanye – AMAFOTO

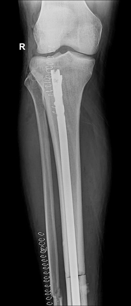
Nyuma y’imvune umunyezamu wa AS Kigali, Kimenyi Yves yagiriye ku mukino wa shampiyona wahuzaga Musanze Fc na AS Kigali, azamara amezi atandatu hanze y’ikibuga.

Kimenyi wabazwe kuwa mbere, arava mu bitaro by’Inkurunziza Orthopedic Specialized kuri uyu wa Kane tariki 2 Ugushyingo 2023.

Written by Epaphrodite Nsengimana

I am responsible for this article, not the YEGOB website. Please contact me if you need more information about it: +250736426472

RIP Uwimana Bosco: Umwana w’imyaka 16 yimanitse mu mugozi nyuma yo gucika abari bamucyetseho kwiba inkoko 5 z’umuturanyi

Bagenzi ba Rukara uherutse kwicwa yibye flat na matera, bagiye kumuhorera ku musaza witwa Samuel bafatwa bamaze kwiba Gaz na matera bagarutse gutwara ibindi byo mu nzu

  • https://stream.zeno.fm/0fzvslccgngvv
  • YEGOB LIVE
  • YEGOB LIVE
  • https://stream.zeno.fm/h8a8g1chaxhvv
  • YEGOB RADIO
  • YEGOB RADIO