in

“Indaya n’urukiko byose bikunda abagabo” Hari umuhanzi wahimbye igihangano gitangaje kigaruka ku bintu 15 bifitanye isano – VIDEWO

Ku mbuga nkoranyambaga hakomeje kuzenguruka amashusho y’umugabo uvuga ko ari umuhanzi, wumvikana avuga ibintu 15 bifitanye isano.

Uyu muhanzi uvuga ko yazimye, mu bintu yavuze bifitanye isano harimo ko icyapa na Bibiliya byose biyobora, umukandara n’irindazi byose bifata mu nda, indaya n’urukiko byose bikunda abagabo ndetse n’ibindi byinshi.

Reba video aho hasi:

Written by Epaphrodite Nsengimana

I am responsible for this article, not the YEGOB website. Please contact me if you need more information about it: +250736426472

Bamukoreye Bridal shower ari umugabo! Inkumi z’ibizungerezi  zashagaye The Ben ziramuririmbira karava yajya asongamo rya jwi rye z’igasara

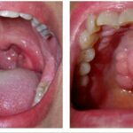
Mwese mushobora kuba muyirwaye! Hamenyekanye indi ndwara irenze sida iterwa n’imibonano mpuza bitsina ikorewe mu kanwa

  • https://stream.zeno.fm/0fzvslccgngvv
  • YEGOB LIVE
  • YEGOB LIVE
  • https://stream.zeno.fm/h8a8g1chaxhvv
  • YEGOB RADIO
  • YEGOB RADIO