in

Amakuru meza ku munyezamu Kimenyi Yves uherutse kuvunika igufwa rigatandukana (AMAFOTO)

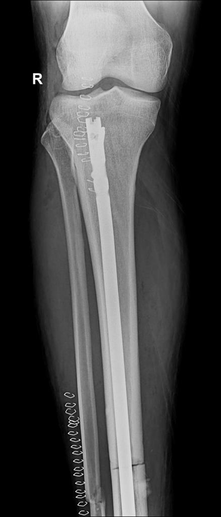
Nyuma y’umunsi umwe umunyezamu Kimenyi Yves wa AS Kigali agize imvune ikomeye cyane amagufwa y’agatsitsino agatandukana, ubu yamaze kubagwa.

Amakuru meza ahari ni uko Kimenyi Yves yabazwe neza n’umuganga kabuhariwe mu kunga amagufa ukorera mu bitaro by’inkuru nziza biri Gikondo.

Nk’uko byatangajwe na AS Kigali, mu mafoto bashyize hanze, ubu igufwa ryatandukanye uyu muganga yamaze gushyiramo insimburangingo izatuma igufwa ryongera guhura neza.

Written by Epaphrodite Nsengimana

I am responsible for this article, not the YEGOB website. Please contact me if you need more information about it: +250736426472

Umusore n’inkumi bigana muri GS Rwabicuma bafashe icyemezo cya kigabo cyo kubana nk’umugore n’umugabo bakiri ku ntebe y’ishuri – AMAFOTO

Nyamirambo: Impungenge ni zose ku bakunzi ba Mushikaki cyangwa se ‘brochettes’

  • https://stream.zeno.fm/0fzvslccgngvv
  • YEGOB LIVE
  • YEGOB LIVE
  • https://stream.zeno.fm/h8a8g1chaxhvv
  • YEGOB RADIO
  • YEGOB RADIO