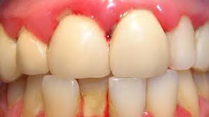
Niba uva amaraso mu ishinya waba uri koza amenyo cyangwa uri kurya, iyi ni indwara ikomeye akenshi ituruka kuri bagiteri ziba ari nyinshi mu kanwa kandi ishobora gukomerera uyirwaye dore ko ishobora gutuma n’ishinya igenda ivaho, bishobora no gutuma amenyo yawe yahunguka.
Ni izihe mpamvu zitera kuva amaraso mu menyo ?
Indwara y’ishinya y’amenyo (izwi nka gingivitis). Iyi ndwara yibasira abantu benshi, iyo ikiri ku rwego rwo hasi ishobora kuvurwa no kugira isuku ihagije y’amenyo, ukayoza buri gihe uko umaze kurya. Iyo yageze ku rwego rwo hejuru bisaba kwitabaza abaganga b’inzobere mu byerekeye amenyo.
Kutagira isuku ihagije y’amenyo: Ibi bigaragazwa nuko abantu batoza amenyo buri munsi bazana ibintu ku menyo, akenshi bifite ibara ry’umuhondo (bishobora no gukomera; babyita plaque). Ubushakashatsi bwerekana ko amenyo ameze neza nyuma y’amasaha 24-36 adakorewe isuku atangira kuzana ibyo bintu
-Koza amenyo nabi: Ibi bituruka ku mpamvu zitandukanye; harimo koza mu kanwa n’imbaraga nyinshi ndetse ugenda umujyo umwe. Ubundi koza amenyo ugomba kujya hasi hejuru hirya no hino; bitari ukugenda hirya no hino gusa.
-Koza mu kanwa ukimara kurya:Ibi nabyo bituma ishinya yangirika ukaba wava amaraso, ibyiza ni ugutegereza akanya gato nyuma yo kurya.
-Imiti y’amenyo ukoresha: Hari imiti imwe n’imwe yoza amenyo igaragaramo ibintu byangiza ishinya yawe.
-Gukoresha uburoso bukomeye cyangwa bushaje (uburoso bw’amenyo ntibugomba kurenza amezi 3 ukibukoresha)
Ni ubuhe buryo wakoresha ngo wirinde kuva amaraso mu menyo ?
1.Amazi arimo umunyu: Mbere yo kuryama nijoro, fata amazi y’akazuyazi uyavangemo akunyu gacye (mu gakombe k’amazi shyiramo agace k’akayiko k’umunyu) maze wunyuguze mu kanwa ucira (bikore kugeza ku munota 1) ibi byirukana za mikorobe zashoboraga gufata ku ishinya, bikanarinda impumuro mbi mu kanwa
2.Ibibabi by’imyembe: Fata ibibabi by’imyembe (bisukuye neza) ubishyire muri litiro y’amazi yabize neza hanyuma ubitereke bihore. Iyo bimaze guhora neza ushobora kubijundika mu kanwa ubizunguza hanyuma ugacira (ibi byitwa gargle/gargariser)
3.Imiti yoza mu kanwa: Hari imiti yoza mu kanwa iboneka muri farumasi zitandukanye (mouthwash). Ariko niba udashoboye kuwigurira nta kibazo dore uburyo wawikorera ; fata igikombe cy’amazi ushyiremo akayiko 1 ka vinaigre cyangwa umutobe w’indimu hanyuma ubikoreshe buri gitondo. Ushobora no kubinywa nta kibazo
Icyitonderwa: Urubuga Sante Plus Mag rutangaza ko niba ishinya itangiye kubyimbirwa ndetse inatukura uba urimo urwara cyane, inama iruta izindi ni ukugana muganga w’amenyo. Akenshi iyo ubu burwayi butaragera kure ; ni ukuvuga ibintu twabonye bifata ku menyo bitarakomera cyane bishobora gukizwa no kongera isuku ugirira amenyo yawe. Naho iyo bimaze igihe hitabazwa umuganga mu by’amenyo.



