in

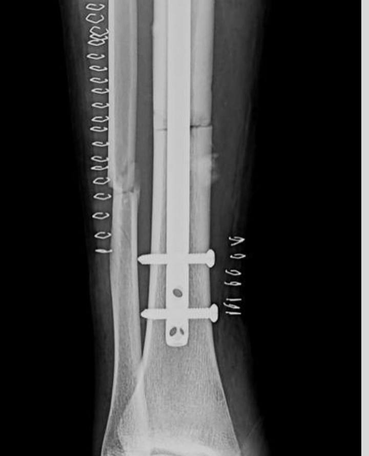
‘Igufwa ryahise ricika mo kabiri’  Dore amafoto yo mu byuma byo kwa muganga agaragaza uburyo igufwa rya Kimenyi Yves ryatandukanye ubwo yavunikaga – Amafoto

‘Igufwa ryahise ricika mo kabiri’  Dore amafoto yo mu byuma byo kwa muganga agaragaza uburyo igufwa rya Kimenyi Yves ryatandukanye ubwo yavunikaga

Ubwo Kimenyi Yves yari arimo ashimira Imana n’abantu bamubaye hafi mu bihe ari gucamo, abinyujije ku rukuta rwe rwa Instagram yasangije amafoto y’uburyo igufwa rye ryabaye ubwo yavunikaga.

Kimenyi yavunitse mu mukino As Kigali riheruka gukinamo na Musanze Fc bikarangira Musanze itsinze As Kigali igitego kimwe ku busa.

Amafoto.

Written by Uwihirwe

I am responsible for this article, not the YEGOB website. Please contact me if you need more information about it.:+250725077325

Umuhanzi bivugwa ko Diamond Platinum agiye kujyana muri Wasafi Record ashobora kuba ari umunyarwanda ukomeye mu muziki ndetse abanyarwanda bakumbuye indirimbo ze

Amakipe ya Rayon Sports mu bagabo n’abagore yatanze isomo rya ruhago kuri uyu wa Gatandatu kuko zose hamwe zatsinze ibitego 10

  • https://stream.zeno.fm/0fzvslccgngvv
  • YEGOB LIVE
  • YEGOB LIVE
  • https://stream.zeno.fm/h8a8g1chaxhvv
  • YEGOB RADIO
  • YEGOB RADIO